Skip to main content Deutsch

Mitralklappe

Sorry, this content is only available in German!

Katheterbasierte Therapien der Mitralklappe

Mitralinsuffizienz 

Die Mitralklappe trennt die linke Herzkammer vom linken Vorhof. Sie ist eine der vier Herzklappen und dafür verantwortlich, dass aus der linken Herzkammer kein Blut in den linken Vorhof zurückfließt. Undichtigkeiten dieser Klappe führen zum Rückfluss von Blut von der linken Herzkammer in den linken Vorhof. Die zusätzliche Belastung, die aus diesem ungerichteten Blutstrom resultiert, kann einen dauerhaften Herzmuskelschaden verursachen.

Mögliche Symptome der Mitralinsuffizienz sind:

  • Atemnot bei Belastung,
  • Leistungsminderung,
  • Herzrhythmusstörungen,
  • Herzschwäche und
  • daraus resultierend reduzierte Lebensqualität.

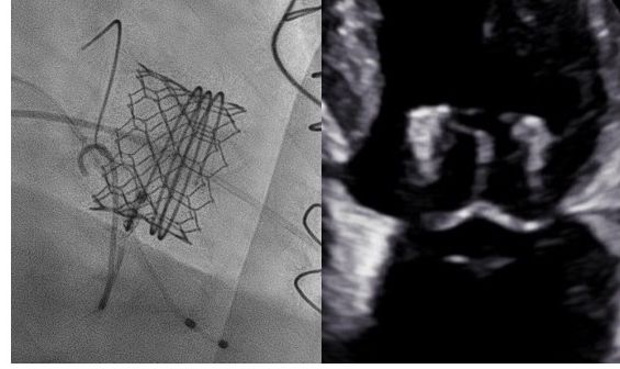
Bei Patient:innen mit hohem Operationsrisiko aufgrund schwerer Begleiterkrankungen, hohen Alters oder einer hochgradigen Einschränkung der Herzfunktion stellt die kathetergestützte Mitralklappenrekonstruktion mit MitraClip, dem Pascal- oder dem Carillon-System eine sehr gute Therapiealternative dar. Weiters können wir auch den perkutanen Mitralklappenersatz mittels Edwards M3 anbieten. Diese Eingriffe erfolgen meist unter Vollnarkose und werden mit Hilfe eines Kathetersystems über die Leistenvene durchgeführt und mittels Herzultraschall geleitet. 

Mitralstenose

Bei schwerer Verengung der Mitralklappe (Mitralstenose) ist die offene herzchirurgische Operation als Standardverfahren anzusehen. Bei ausgewählten Patient:innen, bei denen die Verengung durch eine Entzündung entstanden ist, kann eine kathetergestützte Mitralklappenvalvuloplastie (Sprengung) als Therapiealternative angeboten werden. Bei stark ausgeprägten Verkalkungen des Mitralklappenringes kann bei symptomatischen Hockrisikopatient:innen auch die Implantation einer Herzklappe in Mitralposition (sogenannte Valve-in-MAC-Implantation) angedacht werden.